放射線科
放射線科の検査
・単純X線検査
・X線透視検査
・X線CT検査
・MRI検査
↑↑各検査の詳細はクリックしてください
放射線科では様々な検査が可能です。
当院の担う政策医療の中に呼吸器疾患(結核を含む)に関する専門的な医療があり、検査数の割合としては呼吸器関連の画像検査が多く、それ以外では整形外科分野において骨折の手術治療に関する検査、消化器内科分野でのERCP検査(内視鏡的逆行性胆道膵管造影)等を行っています。
当院では、低線量CTによる肺がん検診を行っております。肺がんは日本人のがん死亡率第一位となっており、早期発見のために肺がん検診をお勧めしています。

・喫煙歴20年以上の方
・せき・たんがよく出る方
・がん家系の方
に特におすすめです。

単純X線検査
単純X線検査は、X線を人体に照射して画像にする検査です。人間の体は骨、筋肉、脂肪などで構成されており、組織によってX線が透過する割合が異なります。
骨はX線が透過しにくいので画像上は白く描出されます。逆に、空気を含んでいる部分(肺、副鼻腔など)は透過しやすいので画像上は黒く描出されます。
当院ではDR(Digital Radiography)システムにより、少ないX線量で高画質の診断画像を得られます。
【胸部】 【腹部】

【手】 【膝関節】

胸部撮影では、肺に異常な影があるかどうか、心臓の形に異常があるかどうかを調べます。
腹部撮影では、炎症や石灰化、腸管内のガスや食物残渣の有無、尿路結石や腹水などの疾患を調べます。
骨の撮影では、骨、関節、靭帯の状態や機能、筋肉、脂肪組織の状態を調べます。骨折、脱臼、変形などがわかります。
骨はX線が透過しにくいので画像上は白く描出されます。逆に、空気を含んでいる部分(肺、副鼻腔など)は透過しやすいので画像上は黒く描出されます。
当院ではDR(Digital Radiography)システムにより、少ないX線量で高画質の診断画像を得られます。
【胸部】 【腹部】

【手】 【膝関節】

胸部撮影では、肺に異常な影があるかどうか、心臓の形に異常があるかどうかを調べます。
腹部撮影では、炎症や石灰化、腸管内のガスや食物残渣の有無、尿路結石や腹水などの疾患を調べます。
骨の撮影では、骨、関節、靭帯の状態や機能、筋肉、脂肪組織の状態を調べます。骨折、脱臼、変形などがわかります。
骨塩定量検査

撮影時の注意事項
撮影範囲内に金属・プラスチックなどがありますと診断の妨げになりますので、撮影時にはずしていただきます。
また体の動きによって画像がブレますので、息を止めての撮影や体を動かさないでいただくよう指示があります。撮影の際に診療放射線技師が説明を致しますのでご協力をお願いいたします。
X線透視検査
X線透視撮影装置でX線を連続的に使用しリアルタイムで状態を観察し、撮影を行います。
造影剤を使用した消化管検査(胃透視、注腸造影)や嚥下造影をはじめとし、脱臼や骨折の整復・固定、内視鏡と併用した治療も行います。
造影剤を使用した消化管検査(胃透視、注腸造影)や嚥下造影をはじめとし、脱臼や骨折の整復・固定、内視鏡と併用した治療も行います。

主な検査
上部消化管検査

下部消化管検査

ERCP検査(内視鏡的逆行性胆道膵管造影)
口から内視鏡を入れ、胆管や膵管にカテーテルを挿入し、造影剤を使用して胆管・膵管の異常を調べる検査です。検査に続いて胆汁や膵液を外に排出させる治療(ドレナージ治療)を行うことがあります。X線を連続的に照射し、リアルタイムで状態を確認しながら治療を行います。
X線CT検査
CTとはコンピューテッドトモグラフィーの略で、X線を用いて体の断面像(輪切り像)を撮影する検査です。

当院のCT装置
2025年3月31日よりキャノンメディカルシステムズ社製80列マルチスライスCTを使用しています。
マルチスライスCTでは頭部・胸部・腹部・下肢など全身の撮影ができます。3次元の情報により様々な断面の画像や3D画像を作成することができます。これにより病変の描出もしやすくなり、「がん」などの早期発見にもつながります。
AI技術を応用し、従来よりも低い線量で撮影を行っており、線量を下げてもより高画質な画像を得る事ができます。
胸部撮影の場合約4秒、胸腹部でも10秒程度息を止めるだけで高精細画像を得ることが出来ます。
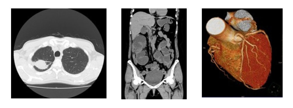
【胸部】 【腹部】 【心臓】

心疾患は、「がん」に次いで日本人の死亡原因の第2位となっています。
とくに冠動脈の動脈硬化によって狭くなったり詰まったりして起こる狭心症や心筋梗塞が増加の傾向にあります。
心臓の栄養血管である冠状動脈の3次元画像表示により、以前は心臓カテーテル検査のため入院しなければ評価できなかった冠動脈が、外来診療において非侵襲的に評価することが可能となっています。
【造影検査についての注意事項】
造影剤は尿として体外に排出されるので、水分(水・お茶など)を普段より多めにとってください。
普段から、食事制限や水分の制限がある方は医師の指示に従ってください。
造影剤を使用する時、副作用が起こる場合があります。吐き気や、発赤、蕁麻疹など、重篤な場合はショックなどを起こします。アレルギー体質や喘息の方、薬で副作用がおきたことがある方は副作用が起こりやすく、その日の体調によっても変化します。その場で、すぐに副作用が起こる事がほとんどですが、まれに数時間後、数日後に症状が出る場合があります。その時は、担当医師に連絡をしてください。
過去に造影剤を使用した検査(CT検査に限らず)で副作用があったという方、喘息やアレルギーをもっている方は副作用が起こる確率が高いといわれています。
検査前に、必ず担当の医師・診療放射線技師に伝えてください。
検査中は、スタッフが注意深く観察しながら検査を行います。
マルチスライスCTでは頭部・胸部・腹部・下肢など全身の撮影ができます。3次元の情報により様々な断面の画像や3D画像を作成することができます。これにより病変の描出もしやすくなり、「がん」などの早期発見にもつながります。
AI技術を応用し、従来よりも低い線量で撮影を行っており、線量を下げてもより高画質な画像を得る事ができます。
80列CTの特徴
検出器の列数は、体のまわりを検出器が一回転で撮影できる範囲と大きく関係し、列数が多いと同じ範囲をより細かく、より短時間で撮影することができます。胸部撮影の場合約4秒、胸腹部でも10秒程度息を止めるだけで高精細画像を得ることが出来ます。
【胸部】 【腹部】 【心臓】

心疾患は、「がん」に次いで日本人の死亡原因の第2位となっています。
とくに冠動脈の動脈硬化によって狭くなったり詰まったりして起こる狭心症や心筋梗塞が増加の傾向にあります。
心臓の栄養血管である冠状動脈の3次元画像表示により、以前は心臓カテーテル検査のため入院しなければ評価できなかった冠動脈が、外来診療において非侵襲的に評価することが可能となっています。
造影CT検査
造影剤という薬を静脈注射して撮影します。造影剤を使用する事により血管や臓器が見え、病変部が把握しやすくなります。腎臓の機能が悪い方やアレルギーがある方、以前に造影剤による副作用が出た方は、造影検査ができない場合があります。【造影検査についての注意事項】
検査前
腹部の造影CT検査を予定している方は、検査予約時間の3時間前からお食事をとらないでください。水分は、この限りではありません。詳しくはお問い合わせください。検査後
食事や入浴などは普段どおりでかまいません。造影剤は尿として体外に排出されるので、水分(水・お茶など)を普段より多めにとってください。
普段から、食事制限や水分の制限がある方は医師の指示に従ってください。
造影剤による副作用について
造影剤を使用する時、副作用が起こる場合があります。吐き気や、発赤、蕁麻疹など、重篤な場合はショックなどを起こします。アレルギー体質や喘息の方、薬で副作用がおきたことがある方は副作用が起こりやすく、その日の体調によっても変化します。その場で、すぐに副作用が起こる事がほとんどですが、まれに数時間後、数日後に症状が出る場合があります。その時は、担当医師に連絡をしてください。過去に造影剤を使用した検査(CT検査に限らず)で副作用があったという方、喘息やアレルギーをもっている方は副作用が起こる確率が高いといわれています。
検査前に、必ず担当の医師・診療放射線技師に伝えてください。
検査中は、スタッフが注意深く観察しながら検査を行います。
MRI検査
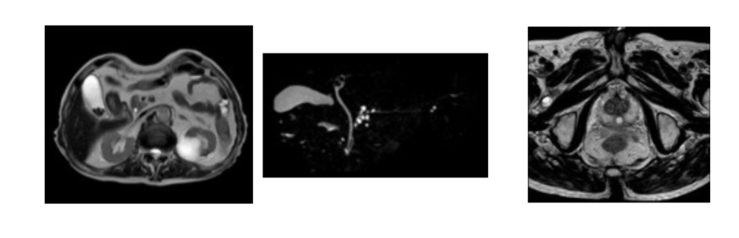
MRI(Magnetic Resonance Imaging、磁気共鳴画像法)は、磁石が埋め込まれたトンネルの中に体を入れて電波を使い、コンピューターにより体の中を映し出す検査です。X線被ばくはありません。
患者さん自身の体の位置を変えずに、あらゆる角度から体の中の様子をみることができます。

PHILIPS社製 Ingenia Prodiva 1.5T MRI装置(2022年3月から稼動)
【脳】 【脳血管】 【頸椎】

【腹部】 【前立腺】

患者さん自身の体の位置を変えずに、あらゆる角度から体の中の様子をみることができます。

PHILIPS社製 Ingenia Prodiva 1.5T MRI装置(2022年3月から稼動)
【脳】 【脳血管】 【頸椎】

【腹部】 【前立腺】

MRI検査を受けるための注意事項
1.検査予約時
MRI検査を受ける患者さん全員に予約票と一緒に「MRIチェックリスト」と「MRI検査を受けられる方へ」と造影剤を使用する方には「造影MRI同意書」の用紙が配布され、当院職員による検査説明と問診がなされます。お渡しした書類はあらかじめよく読んでいただき、不明な点は遠慮なくお問合せ下さい。
検査当日には必ずその用紙を全て持参してください。
2.検査を受ける際
場合により金属のついていない服装または検査着に着替えていただきます。・身につけている金属類や張り薬・カイロ・コルセットを外してください。
・クレジットカードやテレホンカード、定期券などはMRI装置の磁気によって使えなくなってしまいます。
・検査室には全ての物を持ち込まないようお願いします。
3.検査の説明
検査室に入る前に、「MRIチェックリスト」を見ながら体内金属等の確認をいたします。・検査用のベッドに仰向けに寝てください。体の位置がずれないように固定します。
・検査中に異常を感じた時のために、緊急ブザーがございます。また、検査中は検査スタッフとマイクを通して会話ができます。
・検査時間は、約30分から1時間程度です。
・肩の力を抜いてリラックスしてお受けください。
・具合が悪くなった時はどうぞ遠慮なくお知らせください。
4.検査を始めます
検査がはじまると「トントン・ピーピー」という大きな音が聞こえますが、装置から出る音ですから、安心してください。・検査する部分が胸部や腹部の場合は、息を止めて撮影する事があります。
・検査の内容により造影剤という薬剤を使用します。静脈注射しての撮影や経口投与での撮影を行なう場合があります。
次のような方は必ず職員に申し出てください
検査を受けることができない方
・心臓ペースメーカーを使用されている方*条件付きMRI対応ペースメーカーは、特定の条件下でMRI検査が可能です
・金属製の心臓人工弁を入れている方
・人工内耳を入れている方
検査を受けることができない可能性のある方
・手術・治療等で体内に金属を入れている方・刺青、アートメイクをされている方
