X線CT検査
CTとはコンピューテッドトモグラフィーの略で、X線を用いて体の断面像(輪切り像)を撮影する検査です。

当院のCT装置
2025年3月31日よりキャノンメディカルシステムズ社製80列マルチスライスCTを使用しています。
マルチスライスCTでは頭部・胸部・腹部・下肢など全身の撮影ができます。3次元の情報により様々な断面の画像や3D画像を作成することができます。これにより病変の描出もしやすくなり、「がん」などの早期発見にもつながります。
AI技術を応用し、従来よりも低い線量で撮影を行っており、線量を下げてもより高画質な画像を得る事ができます。
マルチスライスCTでは頭部・胸部・腹部・下肢など全身の撮影ができます。3次元の情報により様々な断面の画像や3D画像を作成することができます。これにより病変の描出もしやすくなり、「がん」などの早期発見にもつながります。
AI技術を応用し、従来よりも低い線量で撮影を行っており、線量を下げてもより高画質な画像を得る事ができます。
80列CTの特徴
検出器の列数は、体のまわりを検出器が一回転で撮影できる範囲と大きく関係し、列数が多いと同じ範囲をより細かく、より短時間で撮影することができます。
胸部撮影の場合約4秒、胸腹部でも10秒程度息を止めるだけで高精細画像を得ることが出来ます。
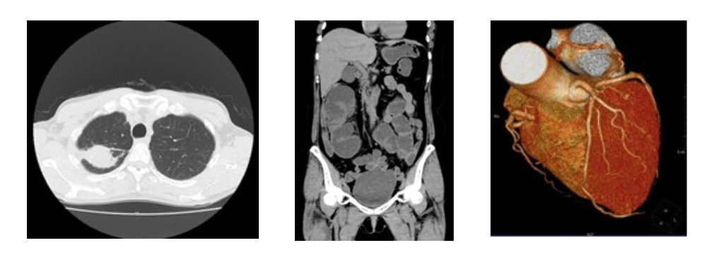
【胸部】 【腹部】 【心臓】

心疾患は、「がん」に次いで日本人の死亡原因の第2位となっています。
とくに冠動脈の動脈硬化によって狭くなったり詰まったりして起こる狭心症や心筋梗塞が増加の傾向にあります。
心臓の栄養血管である冠状動脈の3次元画像表示により、以前は心臓カテーテル検査のため入院しなければ評価できなかった冠動脈が、外来診療において非侵襲的に評価することが可能となっています。
胸部撮影の場合約4秒、胸腹部でも10秒程度息を止めるだけで高精細画像を得ることが出来ます。
【胸部】 【腹部】 【心臓】

心疾患は、「がん」に次いで日本人の死亡原因の第2位となっています。
とくに冠動脈の動脈硬化によって狭くなったり詰まったりして起こる狭心症や心筋梗塞が増加の傾向にあります。
心臓の栄養血管である冠状動脈の3次元画像表示により、以前は心臓カテーテル検査のため入院しなければ評価できなかった冠動脈が、外来診療において非侵襲的に評価することが可能となっています。
造影CT検査
造影剤という薬を静脈注射して撮影します。造影剤を使用する事により血管や臓器が見え、病変部が把握しやすくなります。腎臓の機能が悪い方やアレルギーがある方、以前に造影剤による副作用が出た方は、造影検査ができない場合があります。
【造影検査についての注意事項】
造影剤は尿として体外に排出されるので、水分(水・お茶など)を普段より多めにとってください。
普段から、食事制限や水分の制限がある方は医師の指示に従ってください。
その場で、すぐに副作用が起こる事がほとんどですが、まれに数時間後、数日後に症状が出る場合があります。その時は、担当医師に連絡をしてください。
過去に造影剤を使用した検査(CT検査に限らず)で副作用があったという方、喘息やアレルギーをもっている方は副作用が起こる確率が高いといわれています。
検査前に、必ず担当の医師・診療放射線技師に伝えてください。
検査中は、スタッフが注意深く観察しながら検査を行います。
【造影検査についての注意事項】
検査前
腹部の造影CT検査を予定している方は、検査予約時間の3時間前からお食事をとらないでください。水分は、この限りではありません。詳しくはお問い合わせください。検査後
食事や入浴などは普段どおりでかまいません。造影剤は尿として体外に排出されるので、水分(水・お茶など)を普段より多めにとってください。
普段から、食事制限や水分の制限がある方は医師の指示に従ってください。
造影剤による副作用について
造影剤を使用する時、副作用が起こる場合があります。吐き気や、発赤、蕁麻疹など、重篤な場合はショックなどを起こします。アレルギー体質や喘息の方、薬で副作用がおきたことがある方は副作用が起こりやすく、その日の体調によっても変化します。その場で、すぐに副作用が起こる事がほとんどですが、まれに数時間後、数日後に症状が出る場合があります。その時は、担当医師に連絡をしてください。
過去に造影剤を使用した検査(CT検査に限らず)で副作用があったという方、喘息やアレルギーをもっている方は副作用が起こる確率が高いといわれています。
検査前に、必ず担当の医師・診療放射線技師に伝えてください。
検査中は、スタッフが注意深く観察しながら検査を行います。